Table of Contents
« prev
next »
Washington University Experience
|
PERIPHERAL NEUROPATHY
|
11 VASCULITIS - VASCULOPATHY
|
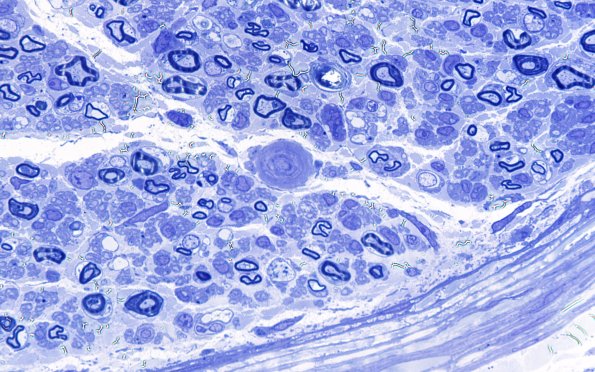
2 Vasculopathy
|
5B4 (Case 5) Plastic 100X 3
Many endoneurial vessels show marked thickening of their walls.
Image Info
Camera Maker:
Olympus
Camera Model:
DP74
Shutter Speed:
42/485 sec
Metering Mode:
Multi-Spot
Gallery RSS
|
Archive View
|
Login
|
Powered by
Zenphoto