Table of Contents
Washington University Experience | PERIPHERAL NEUROPATHY | 11 VASCULITIS - VASCULOPATHY | 2 Vasculopathy | 5C1 (Case 5) EM014 - Copy
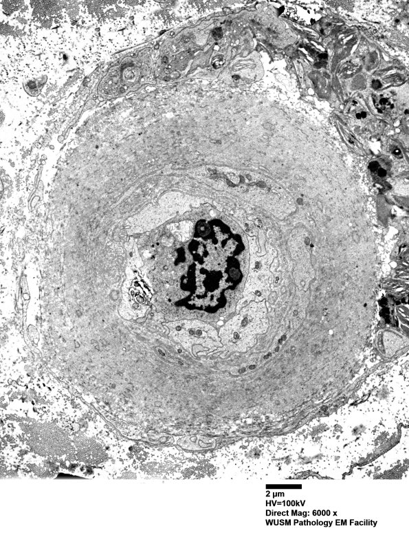
5C1-3 Many endoneurial blood vessels show significant mural thickening consisting largely of collagen but including some fragments of basal lamina. There is an appearance of occlusion or near-occlusion of vascular lumens with plump endothelial cells. There are no collections of neoplastic cells. (electron micrographs)
