Table of Contents
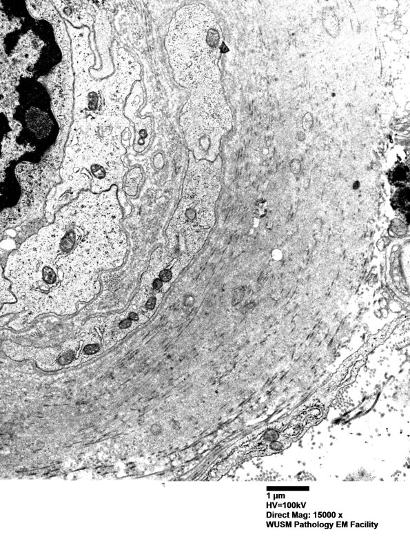
Washington University Experience | PERIPHERAL NEUROPATHY | 11 VASCULITIS - VASCULOPATHY | 2 Vasculopathy | 5C2 (Case 5) EM016 - Copy
Many endoneurial blood vessels show significant mural thickening consisting largely of collagen but including some fragments of basal lamina. (electron micrograph)
