Table of Contents
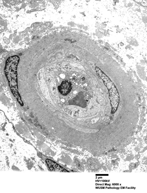
Washington University Experience | PERIPHERAL NEUROPATHY | 11 VASCULITIS - VASCULOPATHY | 2 Vasculopathy | 5C4 (Case 5) EM062 - Copy
5C4,5 This vessel shows purely collagenous thickening of the endothelium. (electron micrographs)
