Table of Contents
Washington University Experience | PERIPHERAL NEUROPATHY | 11 VASCULITIS - VASCULOPATHY | 2 Vasculopathy | 5C5 (Case 5) EM066 - Copy
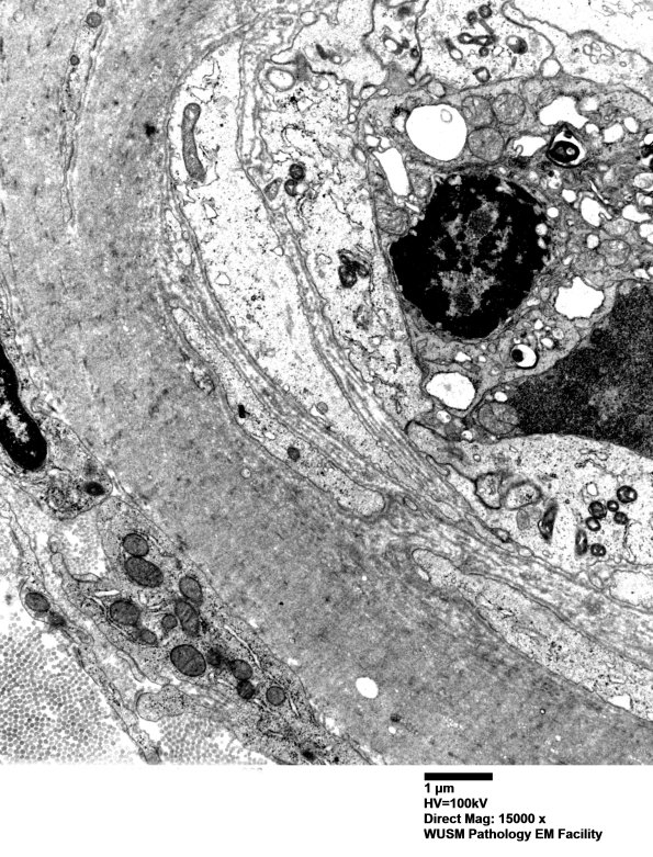
This vessel shows purely collagenous thickening of the endothelium. (electron micrographs) ---- Comment: C5b9 was deposited in endoneurial microvessels by immunohistochemistry. Clinically and immunohistochemically this case merits the diagnosis of HIEM.
