Table of Contents
Washington University Experience | PERIPHERAL NEUROPATHY | 11 VASCULITIS - VASCULOPATHY | 2 Vasculopathy | 6A1 (Case 6) H&E 20X 1
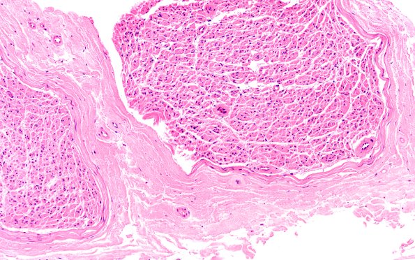
Case 6 History ---- The patient is an 85-year-old man who presented with 6 months of progressive weakness in the right upper extremity and distal legs. EMG showed severe chronic sensorimotor axonal polyneuropathy. ---- 6A1,2 There is no evidence of vasculitis but there is evidence of endoneurial vascular thickening. (H&E)
