Table of Contents
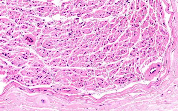
Washington University Experience | PERIPHERAL NEUROPATHY | 11 VASCULITIS - VASCULOPATHY | 2 Vasculopathy | 6A2 (Case 6) H&E 40X 1
There is no evidence of vasculitis but there is evidence of endoneurial vascular thickening. (H&E)
