Table of Contents
Washington University Experience | PERIPHERAL NEUROPATHY | 11 VASCULITIS - VASCULOPATHY | 2 Vasculopathy | 6B3 (Case 6) Plastic 100X 1
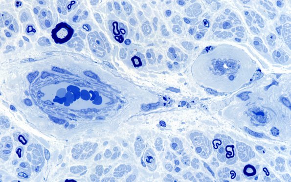
There is severe loss of large and small myelinated axons and marked endoneurial vascular thickening. (plastic section)
