Table of Contents
« prev
next »
Washington University Experience
|
PERIPHERAL NEUROPATHY
|
11 VASCULITIS - VASCULOPATHY
|
2 Vasculopathy
|
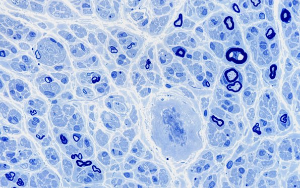
6B6 (Case 6) Plastic 100X 4
Other thickened endoneurial vessels, largely venules. (plastic sections)
Image Info
Camera Maker:
Olympus
Camera Model:
DP74
Shutter Speed:
31/1308 sec
Metering Mode:
Multi-Spot
Gallery RSS
|
Archive View
|
Login
|
Powered by
Zenphoto