Table of Contents
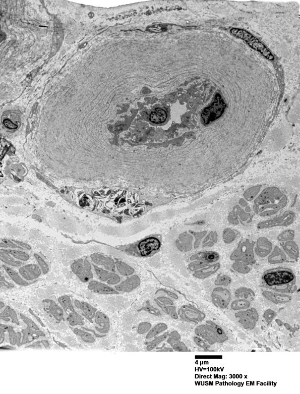
Washington University Experience | PERIPHERAL NEUROPATHY | 11 VASCULITIS - VASCULOPATHY | 2 Vasculopathy | 6C1 (Case 6) EM 001 - Copy
6C1-3 Thickening of this vessel wall consists of accumulated basal lamina fragments (arrowheads, 6C3) and collagen. (electron micrographs)
