Table of Contents
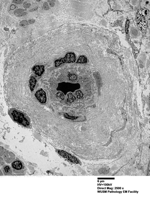
Washington University Experience | PERIPHERAL NEUROPATHY | 11 VASCULITIS - VASCULOPATHY | 2 Vasculopathy | 6C4 (Case 6) EM 013 - Copy
Thickening of this vessel wall consists of accumulated basal lamina fragments and collagen. Several individual inflammatory cells may be present. (electron micrographs)
