Table of Contents
Washington University Experience | PERIPHERAL NEUROPATHY | 11 VASCULITIS - VASCULOPATHY | 2 Vasculopathy | 6C5 (Case 6) EM 014 - Copy
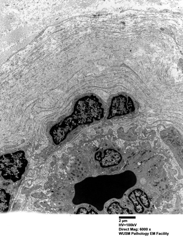
Thickening of this vessel wall consists of accumulated basal lamina fragments and collagen. Several individual inflammatory cells may be present. (electron micrographs) ---- Interpretation: There is no C5b-9 deposition and is clinically different from HIEM.
