Table of Contents
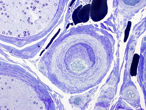
Washington University Experience | PERIPHERAL NEUROPATHY | 11 VASCULITIS - VASCULOPATHY | 2 Vasculopathy | 8A2-Arteriolosclerosis-Case-8-Plastic-2.jpg
This small epineurial vessel shows subintimal pathology consistent with atherosclerosis/arteriolosclerosis. (plastic sections)
