Table of Contents
Washington University Experience | PERIPHERAL NEUROPATHY | 11 VASCULITIS - VASCULOPATHY | 2 Vasculopathy | 9A1-Vascular-Malformation-Case-9-Plastic-1a.jpg
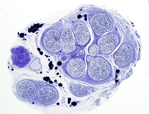
Case 9 No History AFIP ---- 9A1-4 I have never seen anything like this case which I think represents a vascular malformation composed largely of smooth muscle cells with disruption of the internal elastic lamina. Other thoughts are welcome. (plastic sections)
