Table of Contents
Washington University Experience | PERIPHERAL NEUROPATHY | 11 VASCULITIS - VASCULOPATHY | 2 Vasculopathy | 9A2-Vascular-Malformation-Case-9-Plastic-4.jpg
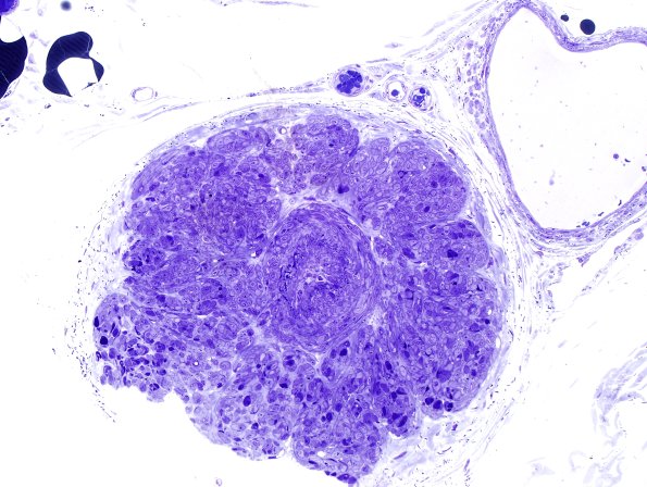
I think this represents a vascular malformation composed largely of smooth muscle cells with disruption of the internal elastic lamina. Other thoughts are welcome. (plastic sections)
