Table of Contents
Washington University Experience | PERIPHERAL NEUROPATHY | 11 VASCULITIS - VASCULOPATHY | 3 Vasculitis - NOS | 10H Vasculitis (Case 10H) SMA
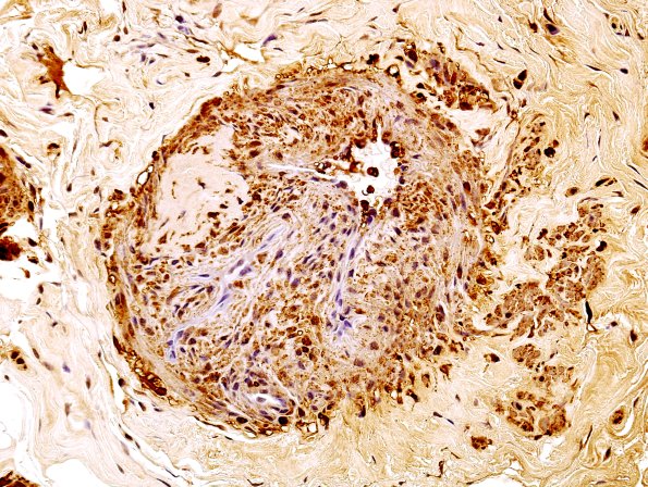
Case 10 History 10H ---- The patient is a 50 year old woman with a peripheral neuropathy and left leg pain. Operative procedure: Sural nerve biopsy. ---- 10H Epineurial blood vessels show recanalization within the vascular lumen, evidence of previous injury either from a vasculitis or thrombosis which is highlighted by immunohistochemical staining for smooth muscle actin. (SMA IHC)
