Table of Contents
Washington University Experience | PERIPHERAL NEUROPATHY | 11 VASCULITIS - VASCULOPATHY | 3 Vasculitis - NOS | 10I Vasculitis (Case 10I) - Copy copy
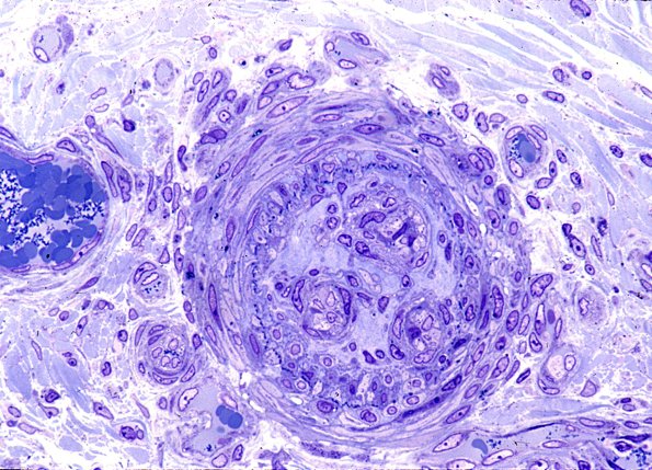
Case 10 No History 10I ---- 10I In this case the muscular wall looks well preserved but there is loss of the internal elastic lamina. (plastic section)
