Table of Contents
Washington University Experience | PERIPHERAL NEUROPATHY | 11 VASCULITIS - VASCULOPATHY | 3 Vasculitis - NOS | 10J Vasculitis (Case 10J) Trichrome 1
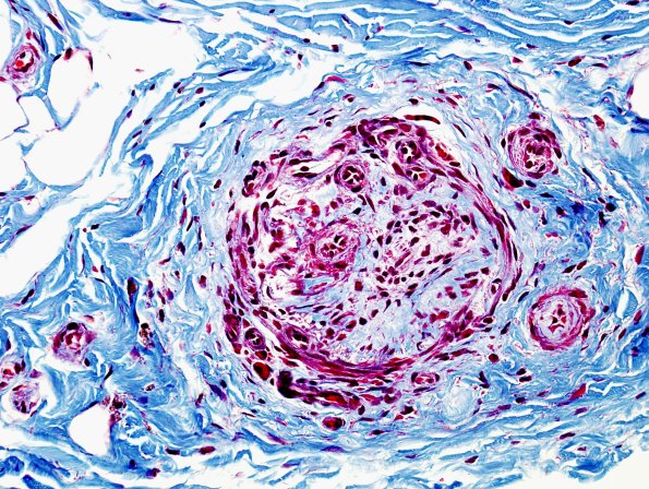
Case 10 History 10J ---- The patient is a 76 year old woman with a clinical diagnosis of peripheral neuropathy. The patient presented with asymmetric weakness and pain. The clinical impression was suspicious for vasculitis. The patient has been treated with steroids. Operative procedure: Right sural nerve biopsy. ---- 10J The destruction of the vascular wall and its chronicity is well illustrated by a Trichrome stain. ---- Not shown: There is evidence of focal fibrinoid necrosis of the vascular wall and the presence of perivascular chronic inflammation with a few plasma cells as well as possible neutrophils and nuclear crumbs involving the vascular wall and perivascular spaces. The inflammatory infiltrate is amplified by a CD45 immunostain. One micron-thick, toluidine blue stained sections of the plastic embedded nerve show marked loss of large and small myelinated fibers with some thinly-myelinated-for-axon-caliber axons and occasional regenerative clusters. There is fascicle to fascicle variation in the degree of axon loss.
