Table of Contents
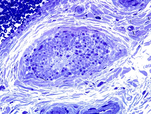
Washington University Experience | PERIPHERAL NEUROPATHY | 11 VASCULITIS - VASCULOPATHY | 3 Vasculitis - NOS | 10N2-Vasculitis-Case-10N-Plastic-1.jpg
10N2,3 The plastic sections of one vessel show an unusual proliferation of discohesive smooth muscle cells. (plastic section)
