Table of Contents
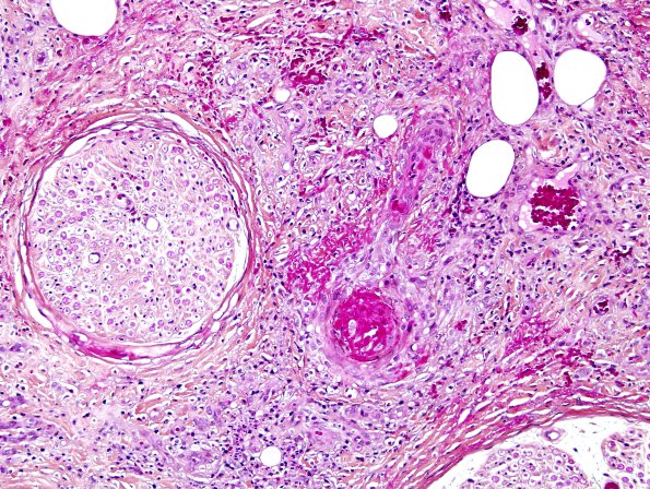
Washington University Experience | PERIPHERAL NEUROPATHY | 11 VASCULITIS - VASCULOPATHY | 3 Vasculitis - NOS | 11A2 Vasculitis (Case 11) Pentachrome 8
This nerve shows a prominent epineurial inflammatory infiltrate and angionecrosis. (H&E)
