Table of Contents
Washington University Experience | PERIPHERAL NEUROPATHY | 11 VASCULITIS - VASCULOPATHY | 3 Vasculitis - NOS | 14A2-Vasculitis-Ischemia-Case-14-2.jpg
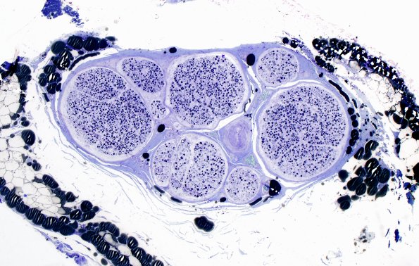
This nerve has fascicle-to-fascicle variability which is common but not pathognomonic of ischemia. (plastic sections)
