Table of Contents
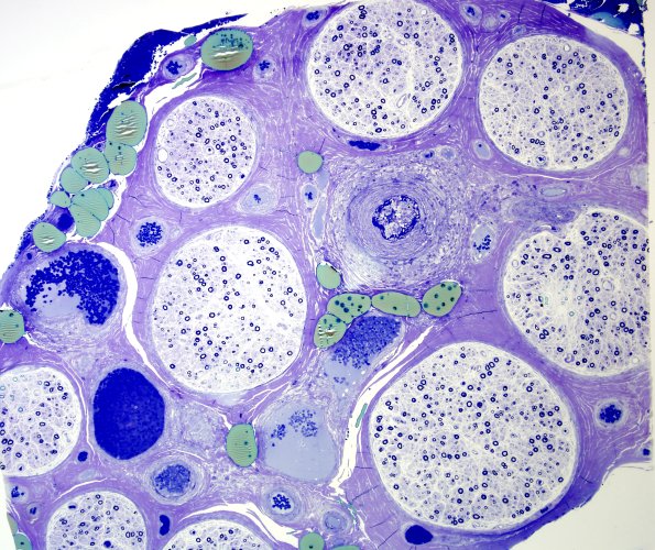
Washington University Experience | PERIPHERAL NEUROPATHY | 11 VASCULITIS - VASCULOPATHY | 3 Vasculitis - NOS | 15A1 Vasculitis (Case 15) Plastic 2
Case 15 History ---- 15A1,2 In this case a large vessel shows fibrinoid necrosis and differently damages surrounding fascicles. (plastic sections)
