Table of Contents
Washington University Experience | PERIPHERAL NEUROPATHY | 11 VASCULITIS - VASCULOPATHY | 3 Vasculitis - NOS | 18A2 Vasculitis (Case 18) Plastic 3
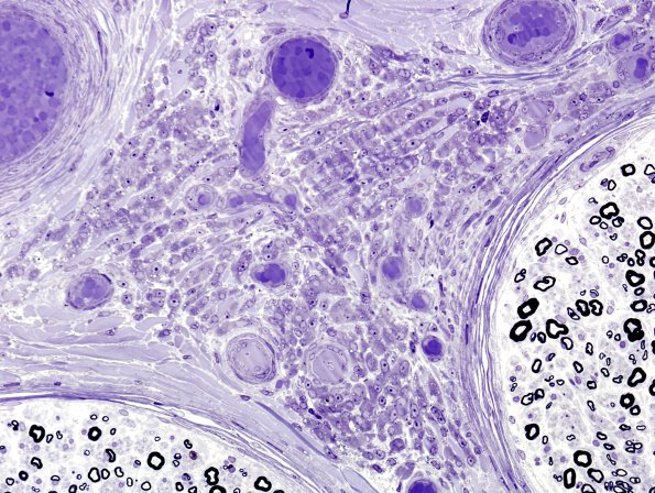
Not all vascular inflammation results in differential axon loss. (plastic sections)
