Table of Contents
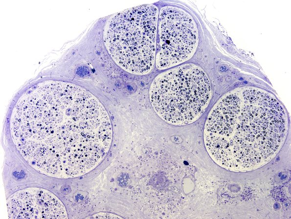
Washington University Experience | PERIPHERAL NEUROPATHY | 11 VASCULITIS - VASCULOPATHY | 3 Vasculitis - NOS | 19A1 Vasculitis (Case 19) Plastic 2
Case 19 No History ) ---- 19A1-3 There is differential fascicle to fascicle loss and evidence of occlusion of small arterioles exhibiting interruption of the internal elastic laminae. (plastic sections)
