Table of Contents
Washington University Experience | PERIPHERAL NEUROPATHY | 11 VASCULITIS - VASCULOPATHY | 3 Vasculitis - NOS | 19A2 Vasculitis (Case 19) Plastic 4
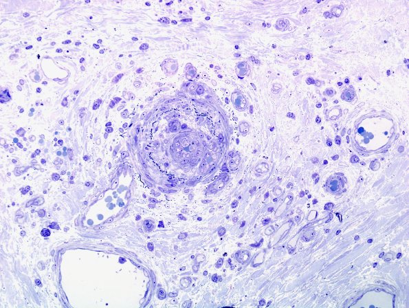
There is differential fascicle to fascicle loss and evidence of occlusion of small arterioles exhibiting interruption of the internal elastic laminae. (plastic sections)
