Table of Contents
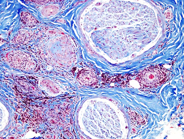
Washington University Experience | PERIPHERAL NEUROPATHY | 11 VASCULITIS - VASCULOPATHY | 3 Vasculitis - NOS | 22B2 Vasculitis (Case 22) Trichrome 1
There is significant endoneurial collagen deposition and focal asymmetric hyalinization of many epineurial vessels. (trichrome)
