Table of Contents
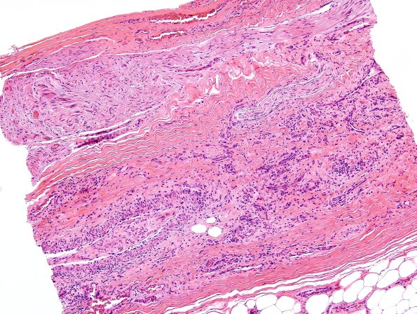
Washington University Experience | PERIPHERAL NEUROPATHY | 11 VASCULITIS - VASCULOPATHY | 3 Vasculitis - NOS | 23A1 Vasculitis (Case 23A) H&E
Case 23 History ---- The patient is a 70-year-old woman who presented with muscle weakness. Operative procedure: Left sural nerve biopsy ---- 23A1,2 Microscopic examination of this sural nerve biopsy material shows fibrinoid necrosis and chronic inflammation. (H&E)
