Table of Contents
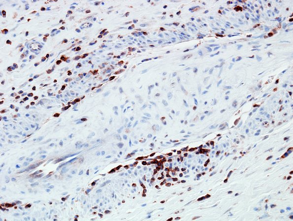
Washington University Experience | PERIPHERAL NEUROPATHY | 11 VASCULITIS - VASCULOPATHY | 3 Vasculitis - NOS | 23B1 Vasculitis (Case 23B) CD3 2
23B1,2 T cells are the predominant lymphocytic population in the vascular walls. (CD3 IHC)
