Table of Contents
Washington University Experience | PERIPHERAL NEUROPATHY | 11 VASCULITIS - VASCULOPATHY | 3 Vasculitis - NOS | 25C1 Vasculitis (Case 25) Plastic 2
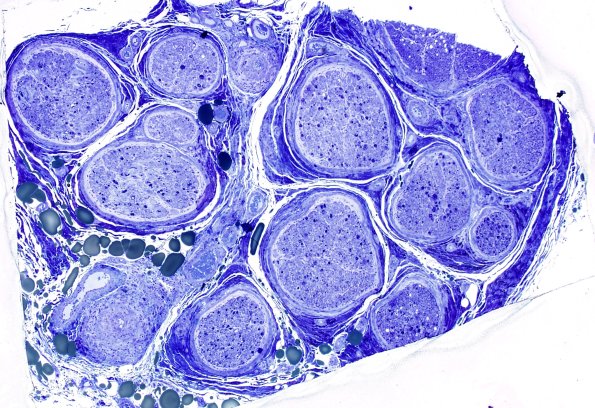
25C1-3 The axon population only slightly varies from fascicle-to-fascicle and there are numerous degenerating axons in the most involved fascicles. (plastic sections)
