Table of Contents
Washington University Experience | PERIPHERAL NEUROPATHY | 11 VASCULITIS - VASCULOPATHY | 3 Vasculitis - NOS | 25C2 Vasculitis (Case 25) Plastic 3
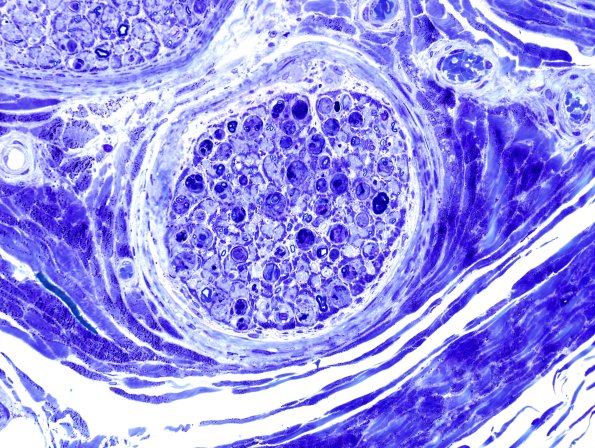
The axon population only slightly varies from fascicle-to-fascicle and there are numerous degenerating axons in the most involved fascicles. (plastic sections)
