Table of Contents
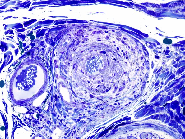
Washington University Experience | PERIPHERAL NEUROPATHY | 11 VASCULITIS - VASCULOPATHY | 3 Vasculitis - NOS | 25C4 Vasculitis (Case 25) Plastic 7
25C4,5 The wall of these vessels shows marked disorganization of smooth muscle cells and, in 25C5, internal elastic lamina disruption, with occasional recanalizing vessels. (Plastic sections)
