Table of Contents
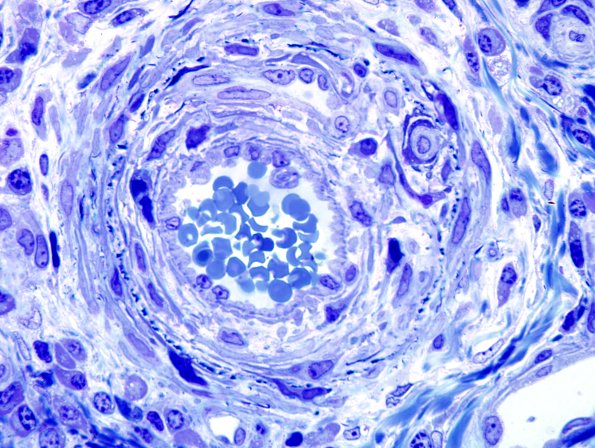
Washington University Experience | PERIPHERAL NEUROPATHY | 11 VASCULITIS - VASCULOPATHY | 3 Vasculitis - NOS | 25C5 Vasculitis (Case 25) Plastic 10
The wall of these vessels shows marked disorganization of smooth muscle cells and, in 25C5, internal elastic lamina disruption, with occasional recanalizing vessels. (Plastic sections) ---- Not shown: A thioflavin S stain is negative for amyloid. Trichrome staining shows asymmetric fibrosis in the affected vasculature. Immunohistochemical staining for neurofilaments highlights the severe loss of axons with only a few scattered positive axons present. CD68 staining highlights scattered macrophages within the fascicles.
