Table of Contents



Washington University Experience | PERIPHERAL NEUROPATHY | 11 VASCULITIS - VASCULOPATHY | 3 Vasculitis - NOS | 27B1 Vasculitis (Case 27) SMA 1

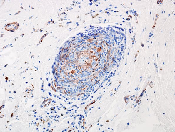
27B1 Vasculitis (Case 27) SMA 1
27B1,2 The smooth muscle layers are disrupted. (SMA IHC)


Gallery RSS RSS Feed | Archive View | Login | Powered by Zenphoto