Table of Contents
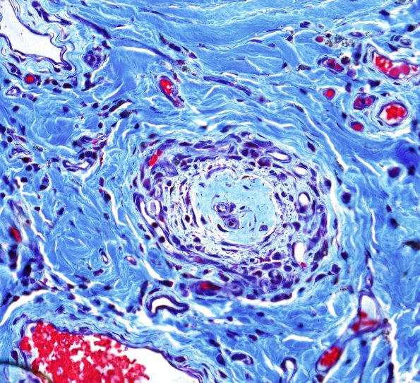
Washington University Experience | PERIPHERAL NEUROPATHY | 11 VASCULITIS - VASCULOPATHY | 3 Vasculitis - NOS | 27C1 Vasculitis (Case 27) Trichrome 1
27C1-3 Trichrome stain highlights thickened and fibrotic vascular walls. (trichrome)
