Table of Contents



Washington University Experience | PERIPHERAL NEUROPATHY | 11 VASCULITIS - VASCULOPATHY | 3 Vasculitis - NOS | 27C2 Vasculitis (Case 27) Trichrome 3

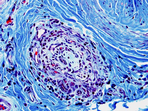
27C2 Vasculitis (Case 27) Trichrome 3
Trichrome stain highlights thickened and fibrotic vascular walls. (trichrome)


Gallery RSS RSS Feed | Archive View | Login | Powered by Zenphoto