Table of Contents
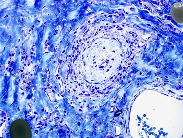
Washington University Experience | PERIPHERAL NEUROPATHY | 11 VASCULITIS - VASCULOPATHY | 3 Vasculitis - NOS | 27D1 Vasculitis (Case 27) Plastic 1
27D1,2 Examples of both fibrotic and inflamed vessels are shown. (plastic sections)
