Table of Contents
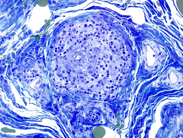
Washington University Experience | PERIPHERAL NEUROPATHY | 11 VASCULITIS - VASCULOPATHY | 3 Vasculitis - NOS | 27D2 Vasculitis (Case 27) Plastic 2
Examples of both fibrotic and inflamed vessels are shown. (plastic sections) ---- Not shown: Neurofilament immunoreactivity shows marked axon loss similarly in all fascicles.
