Table of Contents
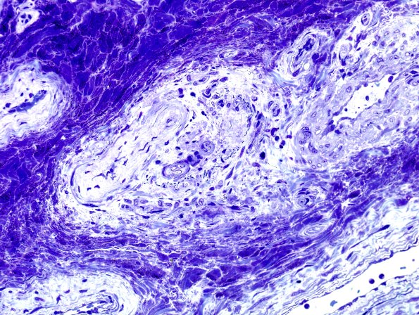
Washington University Experience | PERIPHERAL NEUROPATHY | 11 VASCULITIS - VASCULOPATHY | 3 Vasculitis - NOS | 28C Vasculitis (Case 28) Plastic 2
Toluidine blue stained sections of plastic-embedded sural nerve show a damaged epineurial vessel and multiple fascicles with severe (in areas, almost total) loss of small and large myelinated axons. (plastic sections)
