Table of Contents
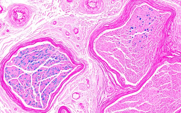
Washington University Experience | PERIPHERAL NEUROPATHY | 11 VASCULITIS - VASCULOPATHY | 3 Vasculitis - NOS | 2B2 (Case 2) LFB 20X 1
2B2,3 Higher magnification image of #2B1 showing variation in axon loss from fascicle to fascicle and within fascicles. (LFB-H&E)
