Table of Contents
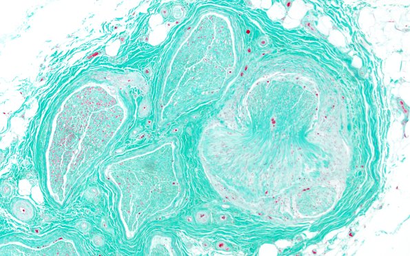
Washington University Experience | PERIPHERAL NEUROPATHY | 11 VASCULITIS - VASCULOPATHY | 3 Vasculitis - NOS | 2C1 (Case 2) TRI 10X 1
2C1,2 The fascicles show increased amount of collagen in areas in which axons have been lost. (Trichrome)
