Table of Contents
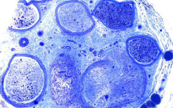
Washington University Experience | PERIPHERAL NEUROPATHY | 11 VASCULITIS - VASCULOPATHY | 3 Vasculitis - NOS | 2E1 (Case 2) 10X
Multiple fascicles show different patterns of axon loss and fascicular integrity. (Plastic sections)
