Table of Contents
« prev
next »
Washington University Experience
|
PERIPHERAL NEUROPATHY
|
11 VASCULITIS - VASCULOPATHY
|
3 Vasculitis - NOS
|
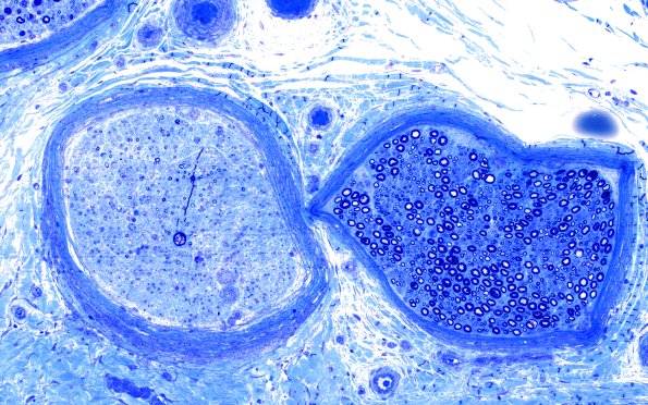
2E2 (Case 2) 20X 2
A “yes/no” fascicle to fascicle axon population in two adjacent fascicles. (Plastic sections)
Image Info
Camera Maker:
Olympus
Camera Model:
DP74 #1
Shutter Speed:
25/18797 sec
Metering Mode:
Average
Gallery RSS
|
Archive View
|
Login
|
Powered by
Zenphoto