Table of Contents
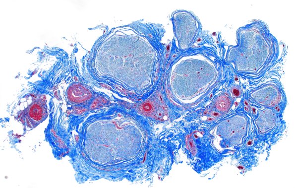
Washington University Experience | PERIPHERAL NEUROPATHY | 11 VASCULITIS - VASCULOPATHY | 3 Vasculitis - NOS | 31F1 Vasculitis (Case 31) TRI 2X
31F1-3 Trichrome staining shows the collagen deposition resulting in focal scarring of the vessel walls and stains the fibrin deposition. (Trichrome)
