Table of Contents
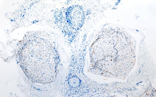
Washington University Experience | PERIPHERAL NEUROPATHY | 11 VASCULITIS - VASCULOPATHY | 3 Vasculitis - NOS | 31G Vasculitis (Case 31) NF 10X
Neurofilament immunohistochemistry shows marked loss of axons, particularly large myelinated axons. (NF IHC)
