Table of Contents
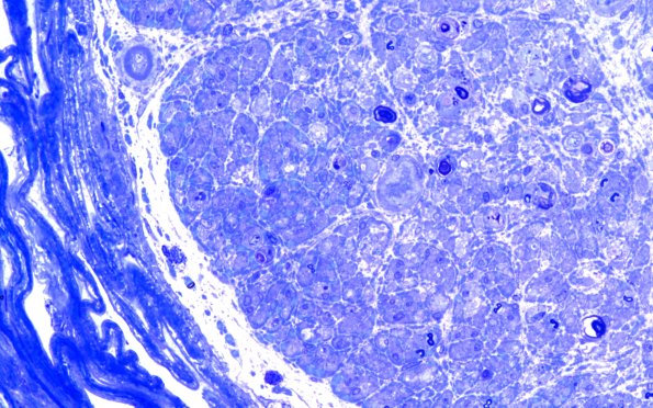
Washington University Experience | PERIPHERAL NEUROPATHY | 11 VASCULITIS - VASCULOPATHY | 3 Vasculitis - NOS | 31H1C Vasculitis (Case 31) Plastic 60X
Higher magnification of the fascicle of 31H1A showing the unusual perineurial change and the devastation of the axonal population. (Plastic sections)
