Table of Contents
Washington University Experience | PERIPHERAL NEUROPATHY | 11 VASCULITIS - VASCULOPATHY | 3 Vasculitis - NOS | 4B5-Vasculitis-Case-4B-NF-11.jpg
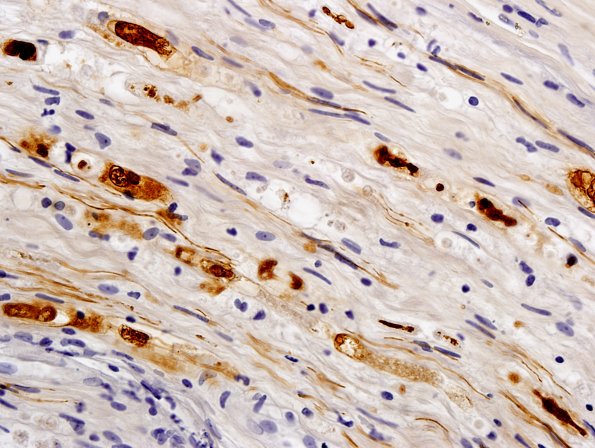
Higher magnification images show fragments of intact axons and clumps of degrading neurofilaments, often within Schwann cells as “ovoids” (a teased fiber term) and possibly within macrophages. (NF IHC)
