Table of Contents
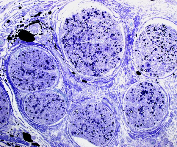
Washington University Experience | PERIPHERAL NEUROPATHY | 11 VASCULITIS - VASCULOPATHY | 3 Vasculitis - NOS | 4C1-Vasculitis-Case-4C-Plastic-5.jpg
4C1-3 Plastic sections demonstrate the nearly complete extent of axonal destruction. (plastic sections)
