Table of Contents
Washington University Experience | PERIPHERAL NEUROPATHY | 11 VASCULITIS - VASCULOPATHY | 3 Vasculitis - NOS | 5B1 Vasculitis (Case 5) SMA 1
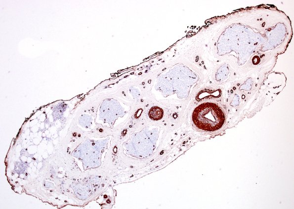
The vast majority of the vascular profiles in this nerve cross section belie the interruption of nerve function. (SMA IHC)
