Table of Contents
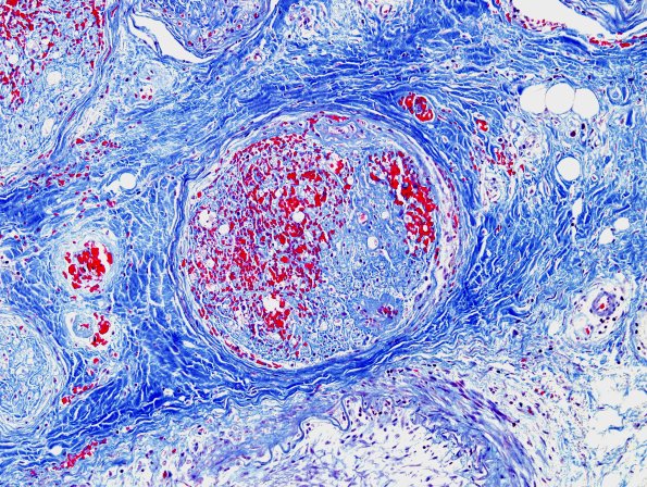
Washington University Experience | PERIPHERAL NEUROPATHY | 11 VASCULITIS - VASCULOPATHY | 3 Vasculitis - NOS | 5D2 Vasculitis (Case 5) Trichrome 2
This trichrome stain highlights the vascular wall disruption and recanalization. (Trichrome)
