Table of Contents
Washington University Experience | PERIPHERAL NEUROPATHY | 11 VASCULITIS - VASCULOPATHY | 3 Vasculitis - NOS | 5E1 Vasculitis (Case 5) NF 7
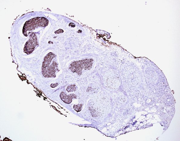
5E1-3 The neurofilament immunostain highlights the loss of axons and marked interfascicular variability.
